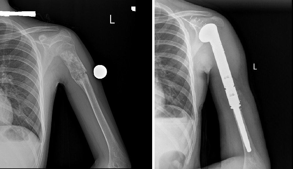
Улсын нэгдүгээр төв эмнэлгийн ХҮСҮСТ-ийн дарга М.Отгонбаяраар ахлуулсан үений мэс заслын баг Монгол Улсад анх удаа атгаал ясны дээд хэсгийн гуравны хоёрыг хамарсан том хэмжээний ясны хортой (osteosarcoma) хавдрын тохиолдолд хавдрыг бүхэлд нь авч мега-протез суулгах мэс заслыг амжилттай хийж гүйцэтгэлээ.
Ясны хавдрын үед том хэмжээний имплант суулгах мэс заслыг анх 2015 оноос эхлэн доод мөчдөд хийж эхэлсэн ба энэ удаагийнх нь дээд мөчид хийсэн анхны тохиолдол юм. Энэхүү мэс заслыг хийснээр хэд хэдэн давуу талтай. Тухайлбал, мөчийг тайрахгүй хадгалж үлдэх, хөл, гар, мөчдийн үйл ажиллагаа эргэн сайжрах, эх орондоо эмчлэгдэх боломжтой болж, гадагш явах санхүүгийн дарамтаас чөлөөлөгдөнө. Уг эмчилгээний тохиолдлын мега-протез нь тухайн хүн өсөж томроход сунгагдах боломжтой тул дахин солих шаардлагагүй юм.

Мэс заслын багт үений мэс заслын эмч Н.Энхтайван, Ө.Баярцэнгэл, МХНТ-ийн мэдээгүйжүүлгийн эмч Х.Баялагмаа, сувилагч Б.Түмэнжаргал, Ч.Лхагвасүрэн, Э.Долгорням нар оролцсон.
Like
0
Зөв
0
0
Буруу
0
Воов
0
Уйтгартай
0
Дуртай
Г.Занданшатар: Хүн сольсноор асуудал шийдэгдэхгүй, тогтолцоогоор нь авч үзэх хэрэгтэй
© 2013-2023. Вэб сайт бүтээсэн: Tsast Solution LLC
